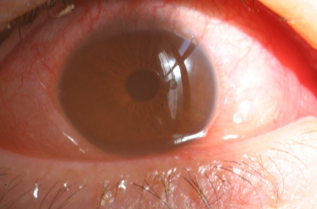
by comoweb | Aug 22, 2025 | Allergies, Conjunctiva
What is the Difference Between Eye Allergies and Conjunctivitis Eye allergies and conjunctivitis are two common conditions that affect the conjunctiva, which is the thin tissue covering the white part of the eye and the inside of the eyelids. Both conditions can...
by comoweb | Aug 8, 2025 | Glaucoma, Retina, Vision
Can Stress Cause High Eye Pressure? Eye pressure, known medically as intraocular pressure (IOP), is the fluid pressure inside the eye. Maintaining a normal range of eye pressure is essential for eye health and clear vision. Elevated eye pressure can damage the optic...
by comoweb | Jul 29, 2025 | Eyelids
Eyelid twitching, also known as myokymia, is a common and usually harmless condition where the eyelid muscles spasm involuntarily. Many people experience intermittent eyelid twitching at some point. It often lasts from a few seconds to several minutes but can persist...
by comoweb | Jul 14, 2025 | Allergies, Eyelids
Can Eyelash Extensions Cause Eyelid Swelling? Eyelash extensions have become increasingly popular for enhancing the appearance of eyelashes by adding length, volume, and fullness. While generally safe when applied properly, some individuals experience adverse...
by comoweb | Jul 3, 2025 | Dry Eye, Glasses, Vision
Eye strain, also known as asthenopia, occurs when the eyes become fatigued from intense use. It is a common complaint particularly among people who spend long hours focusing on screens, reading, or performing tasks requiring sustained visual attention. Many wonder if...